Por: Redação

Estudo da UnB está desenvolvendo uma técnica para tratar o melanoma

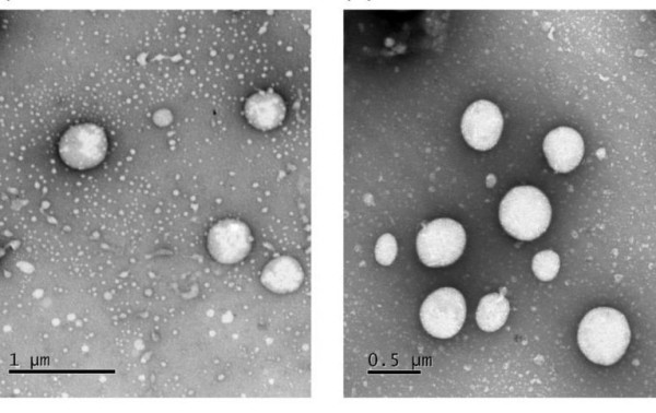
Projeto usa aplicação local com estruturas microscópicas | Foto: Divulgação/FAPDF

Uma pesquisa da Universidade de Brasília (UnB) está desenvolvendo um tratamento para melanoma com aplicação direta na pele, utilizando estruturas microscópicas para levar o medicamento ao local do tumor.

O estudo conta com apoio da Fundação de Apoio à Pesquisa do Distrito Federal (FAPDF) e busca aumentar a eficácia da terapia e reduzir os efeitos no organismo.

A proposta utiliza o fármaco ibrutinib, que apresenta limitações quando administrado por via oral, como baixa absorção e risco de toxicidade. A tecnologia emprega carreadores lipídicos nanoestruturados, que funcionam como veículos para transportar a substância ativa. Essas estruturas permitem atravessar a barreira da pele, alcançar camadas mais profundas e liberar o conteúdo de forma controlada. Com isso, o tratamento se concentra na área afetada, evitando a dispersão pelo corpo.

Os testes foram realizados em laboratório com modelos que simulam a pele humana e culturas celulares de melanoma.

Essa etapa permitiu avaliar a penetração do medicamento e sua ação sobre o tumor. Os resultados indicam a viabilidade da estratégia e apontam avanço no desenvolvimento da solução.

A pesquisa está entre os níveis TRL 5 e 6, o que indica validação em ambiente relevante e progressão para fases mais próximas da aplicação prática. Além do melanoma, a tecnologia pode ser adaptada para outros tipos de câncer de pele e produtos dermatológicos. As próximas etapas incluem testes em modelos animais, ajustes na formulação e ampliação da produção.

O apoio da FAPDF viabilizou a compra de equipamentos, manutenção da estrutura e concessão de bolsas, permitindo a continuidade das atividades de pesquisa no Distrito Federal.

Os resultados vêm sendo publicados em periódicos internacionais, como o International Journal of Pharmaceutics.